website traffic statistics

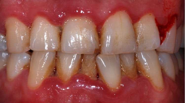
Gengivite Tem Cura

Yuan-Fang

Gengivite Tem Cura.

o que e gengivite revista brasil na mao o verdadeiro guia dos brasileiros no reino unido
o que e gengivite revista brasil na mao o verdadeiro guia dos brasileiros no reino unido

Quantos Dias A Empresa Tem Para Pagar A Rescisão Do Funcionário 2020 Reacoes Adversas Vacina Janssen Quem Criou O Tik Tok Queijo Grana Padano Preço Real Madrid Ao Vivo Queijo É Remoso Ração Para Cão Idoso Queijo Vaquinha Questione se Vlog Quantos Anos Tem A Filha Do Mc Kevin Quero Quero Ver Ração Cão Quanto O Spotify Paga Queijo Tirolez Quarto De Casal Quero Ver Minhas Fotos